Zahnkosmetik:

Zahnkosmetik fängt da an, wo Sie zu Hause mit der Zahnbürste aufhören und hört da auf, wo der Zahnarzt Ihres Vertrauens anfängt!

 

 

Dazwischen liegt ein Wohlfühlprogramm für:

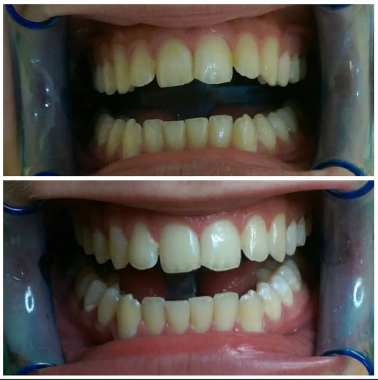
  • natürlich weißere Zähne durch Bleaching
  • die gründliche Zahnreinigung (auch bei Ihrem Zahnspange tragenden Teenager) 
  • die Möglichkeit einer individuellen Zahnverschönerung durch Zahnschmuck
  • oder auch grundgereinigte Prothesen

 

* Zahnkosmetik ist die Wellnessbehandlung für Ihre Zähne *

 

Bei mir gibt es keine Wartezeiten, dafür Termine nach Feierabend oder am Wochenende.

 

  • Ob Sie sich einfach mit einer kosmetischen Zahnreinigung verwöhnen lassen möchten oder schon lange den Wunsch haben, Ihre Zähne aufhellen zu lassen, bei mir ist das zu einem erschwinglichen Preis und ganz ohne Zahnarztpraxisatmosphäre möglich! Wir bleachen ohne Wasserstoffperoxide, es treten keine Empfindlichkeiten nach dem Bleaching auf !!
  • Sie sind zufrieden mit Ihrer Prothese, diese könnte aber mal eine "Auffrischung" brauchen? Bei mir sind Sie auch mit diesem Wunsch an der richtigen Adresse.
  • Ihr Teenager trägt eine feste Zahnspange und nimmt es mit der Zahnpflege nicht so genau? Das Problem kenne ich aus erster Hand ;)  und biete Ihnen in meinem Studio die Möglichkeit der Zahnreinigung für Teenager auch im Abo. 
  • Sie haben * schöne weiße Zähne * und sind eigentlich zufrieden? Vielleicht kann ich Ihnen mit Zahnschmuck noch das i - Tüpfelchen aufsetzten.

 

Sie sehen, es ist weit mehr als "Zähneputzen". Lassen Sie uns darüber sprechen.

 

 

Gerne berate ich Sie persönlich und kostenlos über Ihre individuellen Möglichkeiten Verfärbungen auf den Zähnen zu beseitigen und / oder Ihren Zähnen durch sanfte Zahnaufhellung / Bleaching ein natürliches Weiß zu geben

 

           Rechtlicher Hinweis: Ich erbringe keine medizinischen Leistungen, alle eingesetzten Mittel sind Non Peroxide gemäß Kosmetik Richtlinie!                                                         

Piercing:

Ich biete Piercings wie z.B.- Lippenbändchen, Labret, Eskimo, Medusa, Madonna,

Zunge, Bauchnabel, Lobe, Helix, Tragus, Conch Rook, Brust, Christina u.s.w. , sowie Microdermal Implantate (Skindiver/ Dermal Anchor) an.

Das besondere bei mir:

 

* ich benutze auch PTFE / HEALIUM als Erstschmuck *

 

Da Healium besonders HAUTSCHONEND und vor allem ZAHNSCHONEND ist, kann es gerade als Lippen- / Lippenband - Piercing sowie Zungen - Piercing, sehr gut verwendet werden.

 

Gerne sprechen wir einen Termin ab:

 

per Telefon 02833/1719310

oder auch

per WhatsApp 0157/50887750

Wimpernlifting:

DARUM WILLST DU NIE WIEDER "OHNE" SEIN:

  • ein wacher, strahlender Blick- schon morgens mit dem ersten Augenaufschlag ganz ohne Mascara, ganz ohne falsche Wimpern.
  • unglaublich intensiver Vorher-Nacher-Effekt
  • unsere Garantie: keine Tierversuche,hergestellt in der EU und vegan.
  • Dauert nur 30 Minuten, hält 6-8 Wochen.

 

Druckversion | Sitemap
© Zahnfee

Anrufen

E-Mail

Anfahrt